
Dental Implants Cost
8 Factors That Can Affect Dental Implant Cost
Number of Implants
One implant needed to replace a tooth will cost less than multiple implants for several missing teeth.
Implant Parts
Implants consist of a titanium rod that is anchored into your jawbone where a tooth is missing and a restoration connector called an abutment. Your implant fee may not include the price of the abutment.
Number of Restorations
A bridge with a few restorations or full arch of implant-supported dentures will cost more than a single implant-supported dental crown.
Type of Restoration
Dr. Podlisky offers both traditional and implant-supported dentures. Implant-supported dentures may cost more, but they stay firmly in place, while traditional ones stuck on with adhesive can slip or fall out.
Material Prices
Our Edmonton practice uses dental-grade titanium implants and porcelain to craft our crowns, dentures, and bridges. The prices of these long-lasting, strong materials can fluctuate.
Your Dentist's Experience
Dentists fresh out of dental school may charge less than established dentists in order to get patients in the door. However, these dentists lack the extensive experience and vast training that Dr. Podilsky has, as he has been in practice for nearly 40 years.
Use of Sedation
Patients with dental phobias or difficulty sitting still can request safe, calming sedation from our dentist. The additional investment in sedation can keep you relaxed and free from pain during implant surgery.
Pre-Implant Procedures
Some patients lack healthy jawbone to support implants, meaning bone grafting may need to be performed first. This adds to your dental implant cost as well as the exam needed to determine your jawbone health.
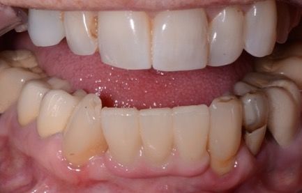
Is the Cost of Dental Implants Really Worth It?
"Oral health is an important part of overall health." Canadian Dental Association
Can Dental Implant Costs Be Made More Affordable? Yes, Through Payment Plans and Financing
Because dental implant surgery is rarely covered by insurance, DentaCare Group offers in-house payment plans so this smile-improving and life-changing dental procedure can fit into your individual budget. We want all our patients to have healthy, complete smiles, regardless of budgetary concerns.




